You are now in the main content area

Seeing double: The next wave of transformative technology

INNOVATION

Seeing double: The next wave of transformative technology

Toronto Metropolitan University’s Research and Innovation Magazine
Issue 44: Winter 2026
Two mirrored depictions of the Daphne Cockwell Complex building, one detailed in full colour, the other a blue outline.

This publication is made possible, in part, with the support of the Research Support Fund.

Steven N. Liss, Vice-President-Research and Innovation.

Message from the Vice-President, Research and Innovation

As fast-paced technological change reshapes and reimagines our lives, researchers at Toronto Metropolitan University (TMU) are working at the leading edge of development and deployment. In doing so, they’re harnessing the power of new tools to deliver evidence-based solutions to a range of challenges across industries and communities.

Steven N. Liss, PhD
Vice-President, Research and Innovation

Idea to Innovation

 

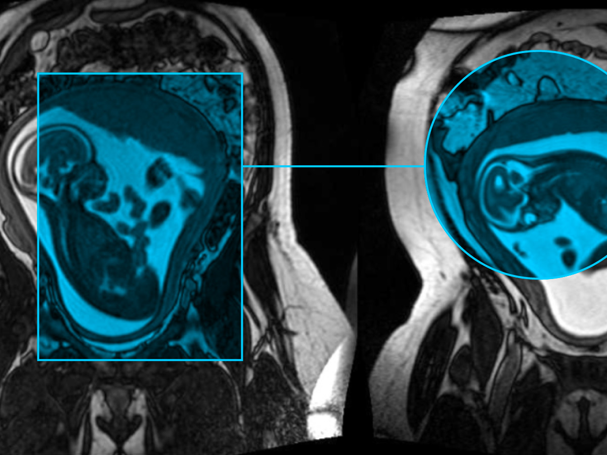
Harnessing AI to transform fetal MRI: Inside the Fetal Assessment Suite

To shorten fetal MRI interpretation times and improve diagnostic accuracy and accessibility, FEAS professor Dafna Sussman developed the Fetal Assessment Suite (FetAS). FetAS is a secure, easy-to-use, web-based platform using machine learning to automatically process fetal MRI scans and help identify potential abnormalities.

Shaping Policy

Animation of a house of cards being built, one card reading A Planner’s Artificial Intelligence Dilemmas.

 

Ethical conduct in the age of AI: A new challenge for urban planners

Amid an explosion of powerful AI tools, professional urban planners lack guidance on how to ethically use these technologies. Professor Pamela Robinson of TMU’s School of Urban and Regional Planning is filling the gap – and protecting the public interest – with a specialized card game.

The silhouette of a hand inserts a ballot into a box against a backdrop of ones and zeroes.

 

When AI meets the ballot box: Protecting democracy in a new digital age

With an international team of legal scholars, technologists and policy experts, law professor Jake Effoduh has produced one of the first global policy briefs on AI and fair elections, offering practical guidance to governments, political parties and electoral authorities struggling to keep up with fast-moving technologies.

Partner to Innovate

A man wearing a hearing aid with an illustration resembling a radar display superimposed over his ear.

 

AI-powered hearing aids and listening effort: Promoting cognitive health in aging

Traditional hearing aids amplify sound, but they often struggle to separate speech from background noise. New research from psychology professor Frank Russo, in collaboration with industry partner Sonova, suggests that artificial intelligence (AI) could help solve this problem and ease brain effort while listening.

A hospital hallway with an animation of interconnected beacons weaving through the space.

 

Tracking the future: How wireless positioning and AI are transforming health care and beyond

To enable Canadian hospitals and industries to manage growing numbers of people and assets safely and efficiently, TMU professor Xavier Fernando worked with industry partner Paytec, Inc. to develop a precise, scalable and privacy-focused location-tracking system.

Meet the Expert

 

Game changer: How video game design principles can help create digital twins that are more immersive, intuitive and interactive

Two TMU professors leveraged the educational elements of video games to design and build a digital twin that earned rave reviews for its engaging, user-friendly experience.

Technology & Design

A woman’s face is altered by blue and red digital distortion

 

Designing safeguards against deepfake deception in the digital age

As deepfake technologies become more realistic and more accessible, understanding how people react to them – and how that reaction can be shaped through design – has become a pressing challenge for information technology management professor Burcu Bulgurcu.

An illustration that resembles a combination of a flow chart and a circuit board in TMU’s branded colours.

 

TMU researchers rethink digital twin design with a simpler, systematized method

Computer science professor Sadaf Mustafiz led an interdisciplinary team that used a model-driven approach to engineer a new, scalable process for designing digital twins and the complex systems that support them.