How to program a better tomorrow: Harnessing disruptive technologies
Innovation Issue 38: Summer 2023
How to program a better tomorrow: Harnessing disruptive technologies

This publication is made possible, in part, with the support of the Research Support Fund.
Message from the Vice-President, Research and Innovation
In this edition of Innovation, we highlight TMU researchers on the leading edge of research and creation at the intersection of quantum technology, artificial intelligence and cybersecurity. Their work addresses the critical needs facing society today while harnessing the power of disruptive technology to devise future-forward solutions.
Steven N. Liss, PhD
Vice-President, Research and Innovation
Intersection
A collaborative approach to improving cybersecurity
From remote work, to app-controlled appliances, to online shopping reviews, modern life has never been more connected. But this increased reliance on the internet comes with a related increase in threats to system security, data privacy and physical safety.
360 Degrees

Quantum Computing
Quantum computing is a rapidly emerging field of technology that harnesses the laws of quantum mechanics to solve problems too complex for classical computers.
Emerging quantum innovations will underpin major advances in fields from computing, to artificial intelligence (AI), to health care, with a vast range of potential applications: developing life-saving drugs and vaccines, locating critical minerals and other natural resources (and mitigating the environmental impact of extracting them), making transportation safer and more efficient, accelerating the design of higher-capacity batteries, and many more.
Quantum technologies will also enhance digital privacy, strengthen cyber-security and safeguard digital infrastructure through secure communications—although in the hands of bad actors, advances in quantum computing could put sensitive information at risk.
Source: Government of Canada. Canada’s National Quantum Strategy (external link, opens in new window) .
Preparing industry for the quantum age
Professor Atefeh Mashatan is working with industry to migrate cybersecurity to quantum-resistant cryptography. Planning the migration today, before quantum computers are readily available, will ensure sensitive and confidential data is protected now and in the future.
Building a software bridge for our quantum future
The encryption codes that protect computer data and software from quantum computing-based cybersecurity challenges already exist. Professor Andriy Miranskyy is building a software bridge that integrates these quantum-safe codes with “classical” computers, such as your current laptop, desktop or smartphone.
Technology & Design
Convince me: Using machine learning to make search results relevant and persuasive
When searching for information on complex topics like climate change or COVID-19 vaccinations on the internet, receiving the most relevant results to a query and factual information is critical. But is this type of information also the most persuasive? Is misinformation more convincing?
Idea to Innovation
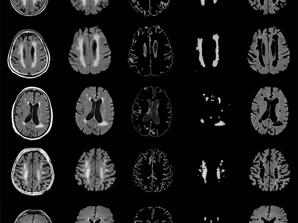
Brain health: Using AI in medical imaging to improve patient outcomes
Research that began during Toronto Metropolitan University (TMU) professor April Khademi’s PhD has resulted in a patented tool that can help transform how clinicians diagnose dementia and vascular disease, leading to earlier detection and improved patient outcomes.
Tiny sensors have a big impact on cancer detection
A new leading-edge cancer detection process has been developed by a team from Toronto Metropolitan University (TMU) and Unity Health Toronto, using their patented quantum sensors and machine learning technology.
Urban Futures
Technology adoption and regulation in policing
Police forces around the world are integrating emerging technologies into their work, from body cameras, to algorithms predicting crime hotspots, to new digital surveillance tools. The speed of adoption, however, is moving faster than the regulations that govern their use, as has been found by the research of Toronto Metropolitan University (TMU) criminology professor Ajay Sandhu.
Culture
Harnessing the power of AI to make digital music more accessible
A human performer writes code on a laptop computer, displayed on a screen behind them, instantaneously creating patterns of sound for live audiences to hear, see and experience. This kind of performance is live coding, a form of improvised digital music composition that manipulates computer code to create music in real time.
Preserving and sharing knowledge through AI-powered digital avatars
An interactive digital avatar that can react and converse just like the person it is based on may seem like science fiction, but an innovative technology platform developed by a Toronto Metropolitan University (TMU) researcher is enabling users to create digital versions of themselves.
Meet the Expert
Enhancing privacy in smart home devices
Smart home devices connected to the internet can add efficiencies and convenience to daily life. This growing industry includes a suite of software tools developed by a Toronto Metropolitan University (TMU) researcher that detect potential privacy and security concerns in the code that powers these applications.
Alumni Spotlight
Immersive VR boosts experiential learning through a pandemic
Alarms beep and monitors flash as a patient suddenly enters respiratory distress. A student nurse must take control to manage the emergency and ensure the best outcome for their patient. If they don’t, their virtual patient may die.